News Center
新闻中心
发布日期:2025-07-08
923次浏览
炎炎夏日来袭
紫外线强度飙升
晒伤和日光性皮炎进入高发期!
紫外线是皮肤屏障的“头号天敌”。研究表明,紫外线照射可直达真皮层,诱导皮肤组织氧化应激反应,引起红斑、水肿、灼热、水疱、脱屑及色素沉着等炎症反应;激活基质金属蛋白酶,降解胶原蛋白;诱导成纤维细胞凋亡,使胶原蛋白合成量下降40%以上,进而使皮肤出现弹性纤维变性、胶原流失等光老化特征[1]。
研究数据

图1.对人体皮肤进行紫外线照射并活检,结果显示紫外线照射24小时后皮肤降解的胶原蛋白水平较未照射组增加3倍(No UV:无紫外线照射组;2MED SS UV:2倍于最小红斑剂量的紫外线照射组)[2]。

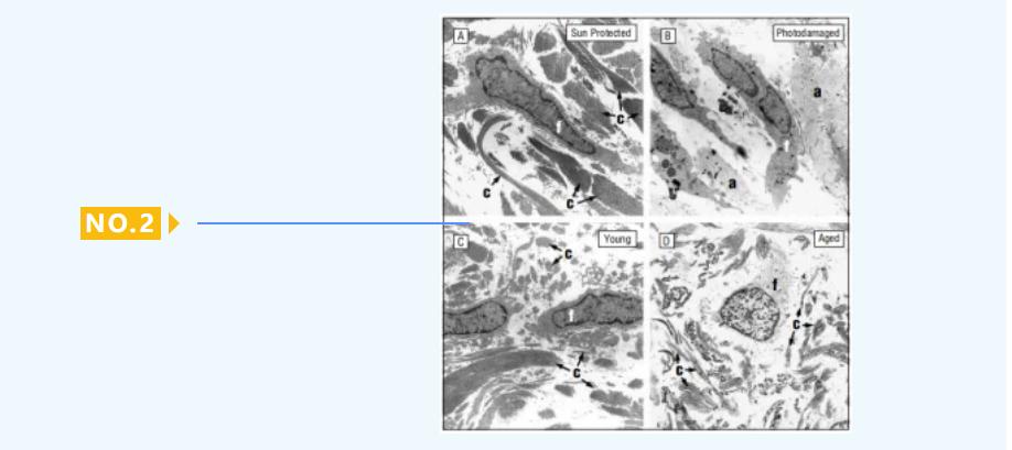
图2.电子显微照片显示,与防晒皮肤(A)和年轻皮肤(C)相比,光老化(B)和自然老化皮肤(D)的胶原纤维呈现碎片化、无序排列或降解状态(a, c)[2]。
修复,需从根源入手
bFGF(碱性成纤维细胞生长因子),是维持成纤维细胞数量与活性的关键信号分子,也是皮肤屏障的重要守护者。多项研究表明,bFGF可通过以下机制修复紫外线照射引起的皮肤损伤:(1)促进细胞增殖:bFGF可刺激表皮细胞和成纤维细胞增殖,加速受损皮肤修复;(2)抗炎作用:bFGF可下调促炎因子(如TNF-α、IL-6、IL-1β),减轻炎症反应,缓解红肿和疼痛;(3)减少氧化损伤:bFGF可通过增强抗氧化酶(如SOD)的活性,清除紫外线诱导的氧自由基,保护细胞免受氧化损伤;(4)促进胶原合成:bFGF可促进成纤维细胞活化,增加胶原蛋白合成,减轻晒伤后的长期皮肤损伤(如光老化)[3,4]。

图3. 患者晒伤24小时后,皮肤出现红肿、水疱,伴灼痛(中度晒伤)。

图4. 使用盖扶湿敷3天后,红肿明显减轻,水疱基本消失,部分皮肤区域进入脱皮状态,新生表皮状态良好,成熟度高。提示使用盖扶后皮肤损伤修复速度高于自然修复速度。
【人群数据统计:中度晒伤平均起始脱皮时间为晒伤后第5-7天,高峰期为第7-10天,持续时间共计7-14天】[5]。
< 夏日皮肤急救指南 >
中度晒伤急救小贴士
急性期(晒伤72小时内):
降温:尽快冷敷或湿敷(勿直接用冰)。
修复:bFGF喷涂晒伤皮肤区域,可辅以湿敷(每日3次)。
保湿:涂抹无刺激的保湿霜(可含芦荟、神经酰胺、维生素E等)。
抗炎:口服/外用非甾体抗炎药(仅对症治疗,不促进修复)。
补水:多喝水,维持体液平衡。
修复期(晒伤72小时后):
修复:继续使用bFGF喷涂创面(每日3次)。
敏感期(晒伤后1-4周):
修复:继续使用bFGF喷涂创面(每日3次)。
防晒:严格防晒,避免二次晒伤。
★提示:【光老化修复】需用微针将bFGF药液导入真皮组织,建议在专业机构操作。
这个夏天
科学修复才能让肌肤安然度夏
晒伤72小时内采取正确护理措施
可减少70%的皮肤损伤!
【参考文献】
1.中华医学会,中华医学会杂志社,中华医学会皮肤性病学分会,等. 日晒伤基层诊疗指南(2023年). 中华全科医师杂志,2023,22(04):348-352.
2.Fisher GJ, Kang S, Varani J, Bata-Csorgo Z, Wan Y, Datta S, Voorhees JJ. Mech-anisms of photoaging and chronological skin aging. Arch Dermatol. 2002 Nov;138(11):1462-70.
3.周镜桂. 碱性成纤维细胞生长因子在活性全层皮肤构建中的作用[D]. 广东:汕头大学,2014.
4.Koike Y, Yozaki M, Utani A, Murota H. Fibroblast growth factor 2 accelerates the epithelial-mesenchymal transition in kera-tinocytes during wound healing process. Sci Rep. 2020 Oct 29;10(1):18545.
5.Guerra KC, Crane JS. Sunburn. 2023 Oct 29. In: StatPearls [Internet]. Treasure Island (FL): StatPearls Publishing; 2025 Jan.